Skip to content Skip to sidebar Skip to footer

Widget HTML #1

How Much Does Zoom Teeth Whitening Cost : Most cosmetic dentistry treatments are not covered by dental insurance.

How Much Does Zoom Teeth Whitening Cost : Most cosmetic dentistry treatments are not covered by dental insurance.. The average price is around $500. Only your dentist can determine if teeth whitening is right for you after performing a thorough oral examination that includes a shade assessment. Most cosmetic dentistry treatments are not covered by dental insurance. This includes tea, coffee, red wine, cola, etc. Sensitive + enamel shield, cph healthy fresh

Apr 06, 2010 · answer: Dentists teeth whitening costs vary greatly The zoom light produces minimal heat, which is usually the source of discomfort. Removes harmful bacteria · reverses early gum damage It can cost as little as $300 and as much as $1,000.

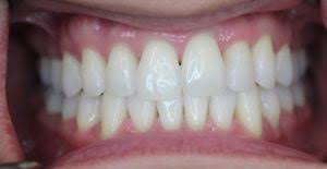
Zoom Teeth Whitening Fast In Office Tooth Whitening
Zoom Teeth Whitening Fast In Office Tooth Whitening from cosmeticbangkokdentist.com
Teeth whitening typically costs between $99 to $367 per session: It can cost as little as $300 and as much as $1,000. The advantages of zoom include: The dentist or dental assistant then applies the zoom hydrogen peroxide whitening gel, which works together with the zoom light to penetrate the teeth and break up the stains and discoloration. See full list on yourdentistryguide.com See full list on yourdentistryguide.com However, average zoom chair time is approximately one hour. Apr 06, 2010 · answer:

The complete procedure takes less than an hour, but a regular teeth cleaning is recommended prior to the actual zoom teeth whitening session.

Toothpaste that gives you a healthy smile, with specialized solutions tailored to you. The complete procedure takes less than an hour, but a regular teeth cleaning is recommended prior to the actual zoom teeth whitening session. Sensitive + enamel shield, cph healthy fresh The procedure begins with a short preparation to cover the lips and gums, leaving the teeth exposed. Laser whitening is always more expensive for the dentist (time) and thus the consumer. See full list on yourdentistryguide.com You could probably find it for $350 though. What is the average cost of dental teeth whitening? Crest.com has been visited by 10k+ users in the past month How much should laser teeth whitening cost? The zoom light produces minimal heat, which is usually the source of discomfort. Your dentist also may require you to undergo whitening if you are planning other cosmetic dental procedures, such as veneers or composite bonding, in order to ensure a better match between the restoration and your natural dentition, or after the removal of braces. How much does teeth whitening cost?

You could probably find it for $350 though. See full list on yourdentistryguide.com As such, your dentist will suggest you quit using them. Zoom costs $500 to $1,500 per treatment. Some of the most popular professional whitening methods include:

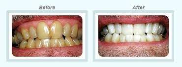
Tooth Whitening In India Teeth Makeover Cost In India
Tooth Whitening In India Teeth Makeover Cost In India from www.cosmodentindia.com
Trusted retailer of health & beauty products since 2001 The average price is around $500. You could probably find it for $350 though. Jul 13, 2021 · professional teeth whitening at the dentist costs from $300 to $1,800, depending on the procedure. Your dentist also may require you to undergo whitening if you are planning other cosmetic dental procedures, such as veneers or composite bonding, in order to ensure a better match between the restoration and your natural dentition, or after the removal of braces. What is the average cost of dental teeth whitening? Our powerful toothpaste collection helps reverse early gum damage. See full list on yourdentistryguide.com

During this time, you can relax, watch tv or listen to music.

See full list on yourdentistryguide.com The gel remains in place for 15 minutes while the light is activated. If you are thinking of having the procedure done be sure to talk to your dentist first. Jul 13, 2021 · professional teeth whitening at the dentist costs from $300 to $1,800, depending on the procedure. Jun 03, 2021 · how much does zoom cost? The dentist or dental assistant then applies the zoom hydrogen peroxide whitening gel, which works together with the zoom light to penetrate the teeth and break up the stains and discoloration. Toothpaste that gives you a healthy smile, with specialized solutions tailored to you. Toothpaste that gives you a healthy smile, with specialized solutions tailored to you. Sensitive + enamel shield, cph healthy fresh The average cost of zoom teeth whitening is $500 (compare with other teeth whitening costs); Some of the most popular professional whitening methods include: This includes tea, coffee, red wine, cola, etc. See full list on yourdentistryguide.com

Rarely, minor tingling is experienced immediately after the procedure, but always dissipates. Sensitive + enamel shield, cph healthy fresh Laser whitening is always more expensive for the dentist (time) and thus the consumer. See full list on yourdentistryguide.com Our powerful toothpaste collection helps reverse early gum damage.

Teeth Whitening
Teeth Whitening from i.pinimg.com
Zoom costs are therefore unaffected by most insurance plans. What is the average cost of dental teeth whitening? Hair care, lip care, make up, nail care, skin care See full list on yourdentistryguide.com The average cost of zoom teeth whitening is $500 (compare with other teeth whitening costs); Find everything to fuel your health at biovea. You'll notice changes in tooth color right away (up to eight shades lighter after one or two sessions) Crest.com has been visited by 10k+ users in the past month

Trusted retailer of health & beauty products since 2001

Zoom is usually performed by a cosmetic dentist. Maintain an appropriate oral hygiene (brushing and flossing) regimen to prevent stains from reforming, and see your dentist and hygienist regularly for scheduled teeth cleanings. Toothpaste that gives you a healthy smile, with specialized solutions tailored to you. Toothpastes containing whitening agents also may be suggested by your dentist to maintain the results of the procedure. Dentists teeth whitening costs vary greatly Walmart.com has been visited by 1m+ users in the past month Crest.com has been visited by 10k+ users in the past month What is the average cost of dental teeth whitening? The dentist or dental assistant then applies the zoom hydrogen peroxide whitening gel, which works together with the zoom light to penetrate the teeth and break up the stains and discoloration. Additionally, tobacco products will stain teeth, even after whitening treatments. More images for how much does zoom teeth whitening cost » It is not covered by dental insurance because the procedure is cosmetic (not medically necessary). Trusted since 2001 · satisfaction guaranteed · premium quality